
毎日しっかりと歯みがきしているのに、いつの間にか虫歯になってしまうのはどうしてでしょう?
一度虫歯になってしまうと、自然に治癒することはまずありません。しかし、虫歯は原因やメカニズムが解明されているので、きちんと予防できる病気です。毎日の歯みがきに加え、歯科医院で定期的なメインテナンスを受けて、虫歯にならないように予防を徹底しましょう。
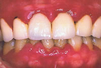
日本人の中年からの歯を失う原因の主なものは虫歯ではなく、実は歯周病です。
毎日欠かさず歯をみがいているのに、50歳をすぎたあかりから急に歯ぐきに異常が生じ、歯が抜け落ちてしまうコワい病気です。自覚症状がほとんど無いので、つい油断してしまいがちです。
気づいたら「遅かった」などという、まさに口の中の生活習慣病なのです。
歯ぐきに慢性の炎症が起こっている状態。ポケットが形成される。
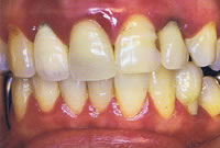
ポケットの深さが深くなり、歯槽骨も減り始める。
歯槽骨の破壊が進み歯がぐらぐらするようになる。
歯周治療の最も基本になるのが、正しいブラッシングの方法を患者さんに知ってもらうことです。 ブラッシングというのは、歯を磨くだけではありません。歯ぐきをマッサージすることも大切です。
年齢と共にどうしても抜け落ちてしまう歯。その他、虫歯や歯周病などで歯を失ってしまうなど理由は様々あります。歯が無いことにより、食事ができなかったり、うまくしゃべれかったり、印象が悪かったりと、色々な弊害をもたらしてしまいます。
義歯治療(総入れ歯、部分入れ歯)をすることにより、今まで不便だったことが改善され、見違える程若々しい印象を保つことができます。適切な治療をし人生を楽しむ事が重要だと考えます。
顎関節症は、顎の関節や筋肉の病気で、普段の食事や人と話す事も困難になります。
顎の痛み、口が開きづらい、顎を動かすと音がするなどの症状がある方は一度ご相談ください。
いつまでも健康な歯でいるために、定期的な検診をおすすめしております。
歯の不具合により、普段の生活が不便になったり、思わぬ症状や病気を併発する恐れもあります。
当院は全員が女性スタッフ!女性ならではの丁寧で優しい診察を心掛けております。
皆様のお口の「ホームドクター」としてお気軽にご相談下さい!
始めて会った人の第一印象は3秒で決まると言われており、その中でも見た目で決まる割合は50%以上と言われております。そんなときに歯が黄ばんでいたりくすんでいたらどうでしょうか?
相手に印象を良く見せたり好感を持ってもらうためにも、健康的で白い歯はとても重要です。
当院の「ホワイトニング」は歯を削ったりせず、自然で綺麗な白い歯にこだわった治療法です。
「ホワイトニング」には2つの方法がありますので、患者様のご要望や状態に合った、治療をさせていただきます。
歯科医の指示のもと、患者さんが自宅でできる方法です。
専用のキット(マウスピース・器具・薬剤など)により自宅で手軽に行えますので、わざわざ歯科に通うこともなく、空いた時間に自分のペースで行えます。
虫歯や歯周病の原因のひとつに、プラーク(歯垢)があります。 プラークは細菌のかたまりで、その細菌の住み家となる膜をバイオフィルムといいます。 毎日のブラッシングで、すべてのプラークやバイオフィルムを完璧に落とすことは出来ません。 そこで、自分自身でのブラッシングに加えて、定期的に専門的なクリーニングが必要になります。 それが「PMTC」(プロフェッショナル・メカニカル・トゥース・クリーニング)です。
まずは歯と歯肉の状態を検査。
染め出し液を使って、プラークを染め出します。
最初に、タバコのヤニや茶シブなどの着色を落とします。
次に、フッ素入りのペーストと特別な器具を使って、歯の表面、歯と歯の間、つけ根部分を1本づつ丁寧に磨き上げていきます。
プラークやバイオフィルムを取りきった歯の表面に、直接フッ素を塗ります。
フッ素を塗った後の30分は食事を控えて頂きます。
「PMTC」終了後は、お口の中が爽やかで、歯の表面がツルツルになります。
汚れもつきにくく、光沢のある歯本来の白さを取り戻します。
担当歯科衛生士から、効果を長持ちさせるお手入れの方法や、今後の「PMTC」を行うペースなどについて、ご説明やアドバイスをさせて頂きます。
3~6ヶ月に一度は、「PMTC」を受けることを、おすすめします。詳しくは、スタッフまでご遠慮なくお尋ね下さい。
マウスピース(マウスガード)は、様々なスポーツシーンでの、お口やあごに対する外傷を予防する効果があります。
最近では、お店などで手軽に購入することが出来ますが、自分のサイズに合ったオーダーメイド品ではないため、装着したときの違和感が強かったり、マウスピースの効果が充分に得られない場合があります。
スポーツにおいてベストプレーをするためには、装着時のストレスがない有効なマウスピースが必要です。
成本歯科医院では、オーダーメイドで患者様それぞれのお口に合ったマウスピースを作成します。
オーダーメイドのマウスピースは、装着したときに「ピタッ」とした適合性と、安定した咬み合せを感じられます。
歯は一度「折れたり」「抜けたり」してしまうと、二度と元には戻りません。スポーツによる歯の外傷は、何本にもわたって損傷することが多くみられます。
また、激しい衝突は、歯だけでなく、あごの骨や頭部(脳)、頚部(首)にも強い衝撃を与えます。これらのダメージを予防し、よりよい競技生活を続けられるよう、効果的なオーダーメイドマウスピースを着用しましょう。
成本歯科医院のマウスピースは下記カラーの他に、様々なカラーバリエーションをご用意いたしております。ですが、場合によってはご希望のカラーが無い事が御座いますので、詳しくはスタッフにお尋ね下さい。
ホワイト
イエロー
グリーン
ブルー
レッド